Transformations de patients
De vraies photos de vrais patients. Cliquez sur n’importe quelle carte pour voir tous les détails.
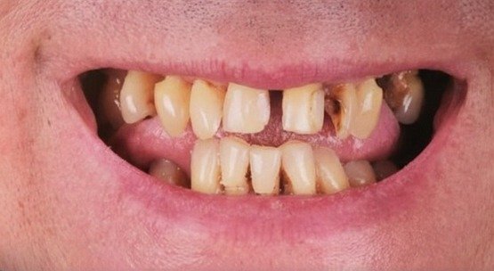
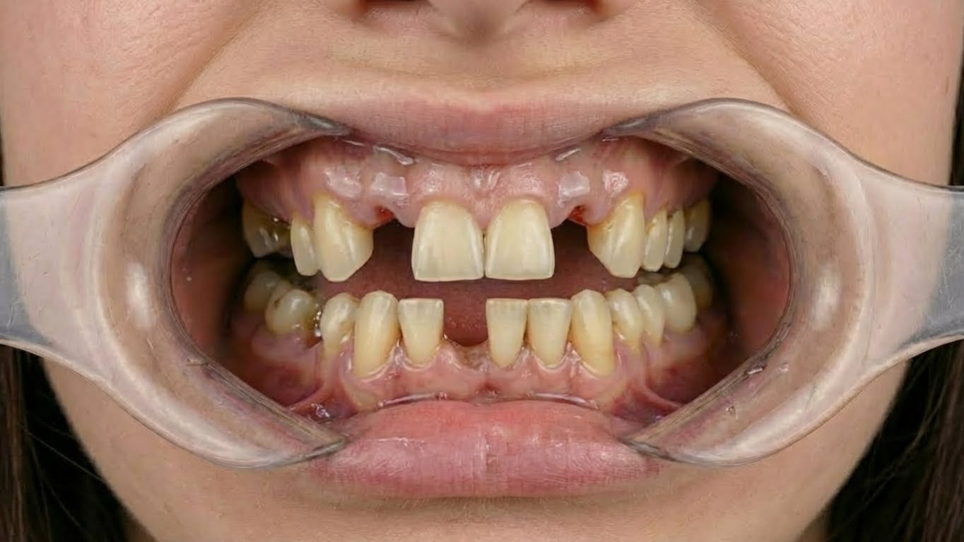
AVANT
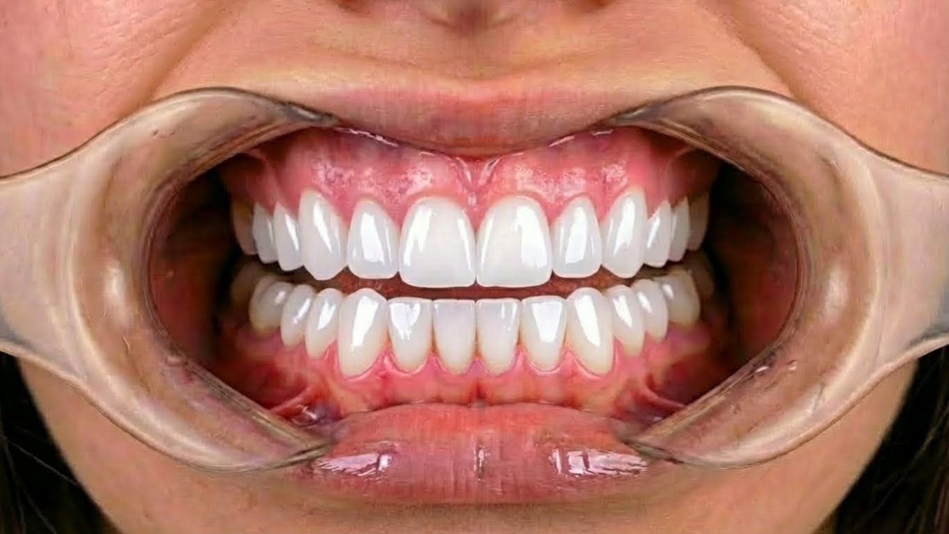
APRÈSTransformation esthétique complète du sourire.
AVANT
APRÈSRestauration fonctionnelle et visuelle complète.
AVANT
APRÈSCorrection de l’alignement et de la forme.
AVANT
APRÈSLumineux, blanc et parfaitement aligné.
AVANT
APRÈSRestauration de la fonction avec des bridges fixes.
AVANT
APRÈSTransformation esthétique d’un blanc éclatant.
AVANT
APRÈSCouronnes de recouvrement complet pour les dents endommagées.
AVANT
APRÈSFacettes laminées d’aspect naturel.
AVANT
APRÈSTraitement d’alignement et d’éclaircissement.
AVANT
APRÈSRestauration complète de la fonction de la morsure.
AVANT
APRÈSTraitement complet pour un nouveau sourire.
Détails de la transformation
Traitement : Conception de sourire
Détails de la transformation
Traitement : Restauration complète
Détails de la transformation
Traitement : Couronnes en zirconium
Détails de la transformation
Traitement : Hollywood Smile
Détails de la transformation
Traitement : Implants dentaires complets
Détails de la transformation
Traitement : Hollywood Smile
Détails de la transformation
Traitement : Couronnes dentaires
Détails de la transformation
Traitement : Facettes E.max
Détails de la transformation
Traitement : Relooking du sourire
Détails de la transformation
Traitement : Implants All-on-6
Détails de la transformation
Traitement : Système All-on-6